by Patrick Zarrelli | Dec 28, 2020 | Uncategorized
The Hollywood Diagnosticss Center located in sunny South Florida is a complete ‘state-of-the-art’ Diagnosticss center. HDC possesses all of the medical imaging technology for all of the digital imaging procedures one needs. For almost three decades, we...
by Patrick Zarrelli | Dec 21, 2020 | Uncategorized
If you suffer from osteoporosis, there’s a good chance that you also may have heart disease, and now researchers are finding out why. Hollywood Diagnosticss Center brings this informative article to show how important bone health is. Osteoporosis is the bone-thinning...
by Patrick Zarrelli | Dec 14, 2020 | Uncategorized
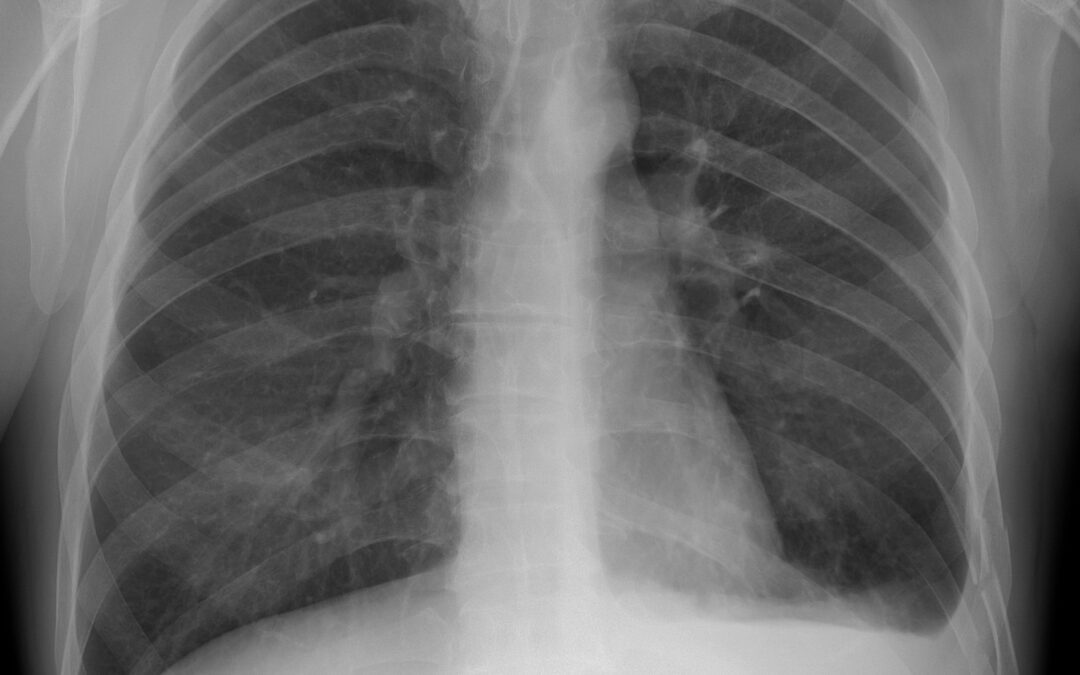
Hollywood Diagnosticss Center is proud to share the recent news that lung cancer detection and even radiologist’s performance will get a boost from an artificial intelligence (AI) algorithm that pinpoints previously un-detected cancers on chest X-rays. In a...
by Patrick Zarrelli | Dec 7, 2020 | Uncategorized
Hollywood Diagnosticss Center has noticed that reports show that millions of Americans have postponed lifesaving screenings and other preventative care due to COVID-19. Doctors performed 67% fewer mammograms and conducted almost 72% fewer colonoscopies, in March and...
by Patrick Zarrelli | Nov 30, 2020 | Uncategorized
The good news is that whatever you are expecting, no matter how nervous you might be, Hollywood Diagnosticss Center is here to take care of your imaging needs and do so with care. Imaging scans are like a window inside your body. They’re an important tool in helping...
by Patrick Zarrelli | Nov 23, 2020 | Uncategorized
Hollywood Diagnosticss Center wants to point out that recent research suggests that breast cancer screening can halve older women’s risk of dying from the disease. Women who have at least one mammogram are 37% less likely to die from breast cancer, according to...